Publicado 29/01/2020 03:50

Salud.-La cirugía para bajar de peso mejora los problemas respiratorios en pacientes obesos

La cirugía para bajar de peso mejora los problemas respiratorios en pacientes ob
La cirugía para bajar de peso mejora los problemas respiratorios en pacientes ob - RADIOLOGICAL SOCIETY OF NORTH AMERICA

MADRID 29 Ene. (EUROPA PRESS) -

La cirugía bariátrica y la pérdida de peso parecen revertir algunos de los efectos negativos de la obesidad en el sistema respiratorio, según un estudio publicado en la revista 'Radiology'.

La obesidad es una epidemia de salud pública que contribuye a un mayor riesgo de hipertensión y accidente cerebrovascular, diabetes y ciertos tipos de cáncer. También daña el sistema respiratorio, aunque el alcance de estos efectos no se conoce completamente.

Los efectos conocidos de la obesidad en el sistema respiratorio incluyen un aumento del esfuerzo respiratorio, junto con una resistencia comprometida de las vías respiratorias y la fuerza muscular respiratoria, que pueden contribuir al deterioro restrictivo de la función pulmonar.

Como una tecnología de imágenes que proporciona imágenes detalladas de los pulmones y las vías respiratorias, la TC tiene un gran potencial para mejorar la comprensión del impacto de la obesidad en el sistema respiratorio. Hasta ahora, sin embargo, ha habido pocos estudios de tomografía computerizada (TC) que evalúen los efectos de la obesidad en los pulmones y la tráquea, a menudo denominada tráquea.

La autora principal del estudio, Susan J. Copley, vio de primera mano el potencial de la TC en su práctica como radióloga torácica en el Hospital Hammersmith en Londres, parte de Imperial College Healthcare NHS Trust, donde observó diferencias en las imágenes de TC de tórax obtenidas en individuos obesos.

"Esto me hizo preguntarme si estas diferencias se debían a la obesidad y si eran reversibles después de la pérdida de peso", explica.

Para el estudio, la doctora Copley y sus colegas evaluaron los cambios en los sistemas respiratorios de 51 personas obesas que se sometieron a cirugía bariátrica, un tratamiento para pacientes obesos que no han respondido a otros enfoques de pérdida de peso consistente en reducir el tamaño del estómago. Todos los participantes perdieron peso después de la cirugía con una disminución del índice de masa corporal promedio de 10,5 kg / m2.

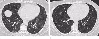
Los investigadores utilizaron la TC para medir el tamaño y la forma de la tráquea y evaluar el atrapamiento de aire, un fenómeno en el que el exceso de aire permanece en los pulmones después de exhalar, lo que resulta en una reducción de la función pulmonar. El atrapamiento de aire es un signo indirecto de obstrucción en las pequeñas vías respiratorias del pulmón.

Cuando los investigadores compararon los resultados al inicio y seis meses después de la cirugía bariátrica, encontraron que la cirugía y la pérdida de peso estaban asociadas con cambios morfológicos o estructurales en el pulmón y la tráquea.

La TC postoperatoria mostró reducciones en el atrapamiento de aire y una menor incidencia de colapso traqueal. El cambio en la extensión del atrapamiento de aire por TC fue el predictor más fuerte de mejoría en la disnea o falta de aliento.

"Por primera vez, este estudio ha demostrado cambios en la morfología de las vías aéreas grandes y pequeñas que mejoran cuando las personas pierden peso --señala Copley--. Estas características se correlacionan con una mejora en los síntomas del paciente".

Los resultados sugieren que puede haber un elemento reversible de inflamación de las vías respiratorias pequeñas relacionado con la obesidad y que la reversión de esta inflamación se correlaciona con la mejora de los síntomas. Los hallazgos también apuntan a la TC como un marcador potencial de esta inflamación.

Si bien se necesitan más estudios para comprender mejor el vínculo entre las características de la TC y los biomarcadores de inflamación, el estudio subraya el potencial de la TC en la evaluación de pacientes con obesidad.

"La TC es un marcador morfológico útil para demostrar cambios sutiles que no se evalúan fácilmente solo con la función pulmonar", concluye Copley.

Contenido patrocinado